Your Smile, Our Priority
Welcome to New Smileline Dental Care, where we combine expert care with modern dentistry. Dr. Hitesh U Pawar and Dr. Shagun Pawar are dedicated to giving you a beautiful, healthy smile.
Our Services
Comprehensive dental solutions for all your oral health needs.

General Dentistry
Routine checkups, professional cleanings, fillings, and comprehensive oral care for optimal dental health.

Invisalign Clear Aligners
Virtually invisible teeth straightening solution. Custom clear aligners that are removable, comfortable, and deliver beautiful results without metal braces.

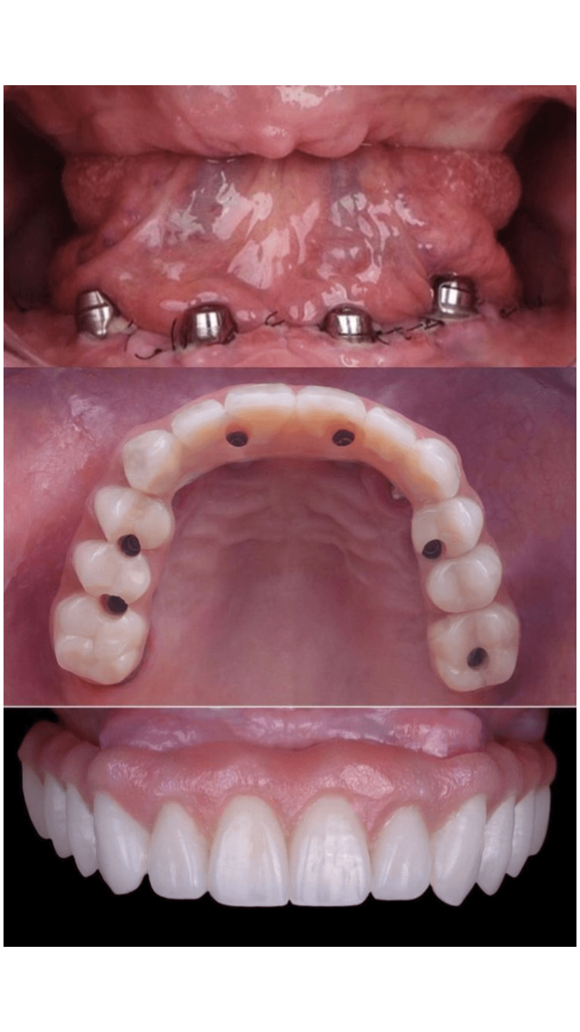
Dental Implants
Replace missing teeth with durable, natural-looking dental implants that restore your smile and confidence.

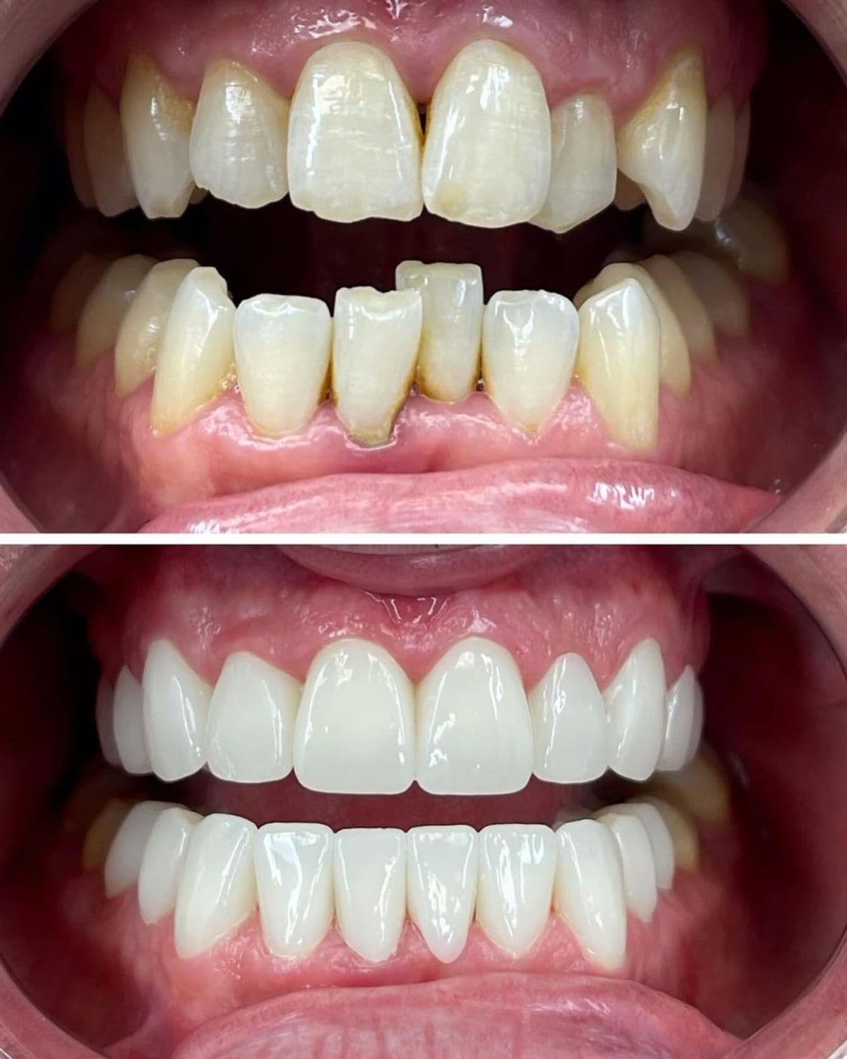
Cosmetic Dentistry
Transform your smile with teeth whitening, veneers, bonding, and other aesthetic procedures.
Single Visit Root Canal Treatment
Advanced endodontic treatment completed in a single visit to save infected or damaged teeth.

Digital Dental Scanning
Experience highly accurate, comfortable, and fast digital impressions using advanced intraoral scanning.

Full Mouth Dental Rehabilitation
Comprehensive smile reconstruction using advanced restorative and prosthetic treatment planning.

Orthodontics - Braces and Aligners
Straighten your teeth with modern braces and clear aligners for a perfectly aligned smile.

Smile Makeovers
Customized multi-step smile transformation combining cosmetic and restorative dentistry.

Smile Designing
Digital smile design with precise planning for a natural and aesthetic smile.

Pediatric Dentistry
Specialized dental care for children with a gentle, caring approach to ensure positive experiences.

Oral Surgery
Safe and expert minor oral surgeries including extractions, wisdom teeth removal, and more.

Gum Surgery
Advanced periodontal treatments for gum diseases, reshaping, and regeneration.
About Us
15+
Years of Excellence
At New Smileline Dental Care, we believe that everyone deserves a healthy, confident smile. Located in the heart of Nerul, Navi Mumbai, our state-of-the-art clinic combines cutting-edge dental technology with compassionate, personalized care.
Led by Dr. Hitesh U Pawar and Dr. Shagun Pawar, our experienced team brings over 15 years of expertise in comprehensive dental care. From routine check-ups to advanced procedures, we're committed to providing exceptional treatment in a comfortable, welcoming environment.
10000+
Happy Patients
15+
Services Offered
Our Mission
To provide world-class dental care that transforms smiles and enhances lives through advanced treatments, patient education, and a commitment to excellence.
Meet Our Doctors
Expert care from experienced dental professionals

Dr. Hitesh U Pawar
MDS Endodontics & Cosmetic Surgeon
Qualifications
MDS in Endodontics & Cosmetic Surgery
Position
Professor at Dr. DY Patil Dental College, Navi Mumbai
Specialization
Single visit painless root canal treatment and cosmetic dentistry

Dr. Shagun Pawar
MDS Endodontics & Implantologist
Qualifications
MDS in Endodontics & Implantology
Specialization
Endodontics & Dental Implants
Expertise
Advanced Implantology & Root Canal Therapy
What Our Patients Say
Join thousands of satisfied patients who have experienced excellent dental care
"I had gone to the clinic for a root canal treatment. The entire procedure took about a week to complete, but it was totally worth it. Dr. Hitesh is a very professional and skilled doctor who made sure the process was smooth and comfortable. The entire staff was also extremely friendly and supportive throughout. Thank you, Dr. Hitesh, and the whole team for the great care!"
Mahesh Kadam
Verified Patient
"I recently went there for my root canal as I was experiencing excruciating tooth sensitivity pain. Dr. Hitesh is extremely patient and is great at what he does. And it shows in his knowledge and experience. His staff too is very courteous and helpful right from the time you call to book an appointment till the end of your consultation/treatment. Not to mention, the constant follow-ups post every sitting. I have already recommended New Smileline Dental Care to one of my friends. Would definitely recommend them to my other friends and acquaintances across Navi Mumbai too."
Mitesh Karamchandani
Verified Patient
"I recently came to New Smileline Dental Care with the chief complain of pain. In my lower tooth. The pain was very much but Dr Hitesh was very much helpful throughout the treatment and the procedure was smooth and painless. I was highly satisfied with the treatment. The staff was nice cooperative and the environment was really calm. I would highly recommendNew Smileline Dental Care for any dental treatment in Seawoods."
Hrutwik Patil
Verified Patient
"Best dental clinic!I am extremely grateful to Dr. Shagun.I am a patient with systemic sclerosis and have multiple health issues, so I was apprehensive about getting successful dental treatment after starting to lose my teeth at an early age.I was totally hopeless, but because of Dr. Shagun's expertise in dentistry and knowledge, I got my smile back!The treatment was so well-planned, painless, and smooth.I can completely vouch for her.One can completely trust Dr. Hitesh Pawar and Dr. Shagun.They are extremely knowledgeable and devoted, great doctors.I can't express my gratitude enough.The clinic is very clean and the staff are courteous too.Just go to them if you are looking for the right treatment and feel like you are losing hope.God bless everyone!"
Nishi Kumar
Verified Patient
Frequently Asked Questions
Find answers to common questions about our dental services and treatments
We offer comprehensive dental services including root canal treatments, dental implants, cosmetic dentistry, orthodontics (braces and aligners), teeth whitening, dental crowns and bridges, wisdom tooth extraction, pediatric dentistry, preventive care, and emergency dental services.
We recommend visiting the dentist every 6 months for routine check-ups and professional cleaning. However, if you have specific dental concerns or ongoing treatments, more frequent visits may be necessary. Regular visits help prevent dental problems and catch issues early.
Modern root canal treatments are virtually painless thanks to advanced techniques and effective anesthesia. Most patients report feeling comfortable during the procedure. Any mild discomfort after treatment can be easily managed with over-the-counter pain medication and typically subsides within a few days.
The complete dental implant process typically takes 3-6 months. This includes the initial implant placement (1-2 hours), a healing period of 3-6 months for osseointegration, and finally the crown placement. However, the timeline can vary based on individual cases and whether additional procedures like bone grafting are needed.
Yes, we work with most major dental insurance providers. Our team will help you understand your coverage and maximize your benefits. We also offer flexible payment plans for treatments not covered by insurance. Please contact us with your insurance details for specific information.
We offer both traditional metal braces and clear aligners (like Invisalign). Traditional braces are highly effective for complex cases, while clear aligners are nearly invisible and removable, making them popular among adults. During your consultation, we'll evaluate your case and recommend the best option for your needs and lifestyle.
Brush your teeth twice daily for 2 minutes using fluoride toothpaste, floss at least once a day, use an antiseptic mouthwash, limit sugary foods and drinks, stay hydrated, and replace your toothbrush every 3-4 months. Regular dental check-ups complement your home care routine for optimal oral health.
For dental emergencies such as severe toothache, broken teeth, knocked-out teeth, or facial swelling, contact us immediately at 9833620567. For a knocked-out tooth, handle it by the crown (not the root), rinse gently, and try to place it back in the socket or keep it in milk until you reach our clinic. We accommodate emergency cases promptly.
Yes, dental X-rays are very safe. Modern digital X-rays emit significantly less radiation than traditional film X-rays - about 80-90% less. We use lead aprons for additional protection, and X-rays are only taken when medically necessary to diagnose conditions that aren't visible during regular examination.
The cost of teeth whitening varies depending on the method chosen. In-office professional whitening typically provides the fastest and most dramatic results. We also offer take-home whitening kits. During your consultation, we'll discuss the best option for your goals and budget, and provide detailed pricing information.